ЛП в Крыму ! НУЖНА ПОМОЩЬ !

Говорим обо всём

Модераторы: wllad, air, pchyolka, troll, elf, John

ЛП в Крыму ! НУЖНА ПОМОЩЬ !

Сообщение air » Вс окт 14, 2007 7:41 pm

Вчера 11/10/07 в Крыму произошло ЛП

Света (высокая рыженькая из Дельтабара), присоединившаяся к Стае в Крыму, на третьем полете на Витамине совершила жесткую посадку (подробности у AIR).
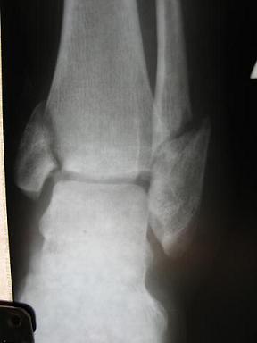
Получила сложный закрытый перелом правой лодыжки. Госпитализирована в БСП Феодосии.
AIR переслал мне рентгены, с которыми я был у Голикова на консультации. По его твердому мнению девочку надо оперировать. И оперировать в Киеве.
Стоимость операции около 2000 грн. Денег у девочки нет и найти их она пока не может.
Девочка была застрахована. В страховую я заявил. Документы собираю. Что удастся выбрать- пойдет на реабилитацию. (Кстати, они выплатили Сереге 1500 грн и Наташе 2000 грн, за что им респект и уважуха)
Свету транспортируем в Киев либо нашим бусом либо за ней приедет кто-то из наших на легковой. Оперировать будет Валера 15-16/10/07 в БСП или в МВД.

НУЖНА ПОМОЩЬ СТАИ

Участие - дело лично каждого и никаких комментариев или обсуждений по этому поводу не будет.
Прошу сообщить в форум или в личку мне mvlad@bears.com.ua, icq161651522, 8067-2406094 :!:
В зависимости от количества участников взнос будет 100-150 грн.


Вчера позно вечером юный "птенчик" "Стаи" Светлана Циганкова была успешно оперированная.
Идеально сопоставленные кости, даже не могу увидеть место перелома!!!
Голиков Валерий Николаевич просто СУПЕР!!!
Ее состояние стабильно все ОК.

Свете нужна наша помощь и участие, лежит она в БСМП на Братиславской 8 этаж палата 807.

Ее тел 80636562519.

По деньгам:
Я оплатил лекарство, госпитализацию и частично операцию.
Отчет предоставлю позже.

P.S. Особая благодарность Сереге Йовенко, узнав о проблеме с бусом, он примчался на лексусе с кумом и мы успели в БСМП. Кум Виктор спешил и нервничал, а Серега оформлял со мной Свету в БСМП до последнего т.е. помещения в палату. Прощаясь Серега сказал о своем Дне Рождения!!!
Прикинте, у него День Рождения!!!

Серега ты ЛУЧШИЙ!!!

С Днем Рождения Сережа
, отпразднуем всей Стаей!!!
Последний раз редактировалось air Пн ноя 26, 2007 10:08 am, всего редактировалось 4 раз(а).
Постепенно постоянно к мастерству.
Аватара пользователя
air
 
Сообщения: 2186
Зарегистрирован: Ср янв 24, 2007 9:48 pm
Откуда: Киев

Сообщение John » Пн окт 15, 2007 11:54 am

Аватара пользователя
John
 
Сообщения: 403
Зарегистрирован: Чт дек 08, 2005 12:53 pm
Откуда: Kiev

Выздоровление Светы

Сообщение air » Вт окт 16, 2007 9:57 pm

Света, впервые после операции, встала с постели.
Самочувствие нормальное, по вечерам еще температурит...
Колят в основном антибиотики, обезболивающее отменили.
Потихоньку поправляется, не унывает, шутит.
Ее завалили едой, фруктами и это правильно :D
Еще правильней перед визитом позвонить Свете и узнать, что ей особенно надо.
Мне звонят ото всюду Москва, Донецк, Полтава, Чернигов, Кавказ, Крым, всех не перечесть...
Братья пилоты и пилотессы, СПАСИБО от Светки и всей "Стаи" Airclub, тронут, столько добрых, отзывчивых и сердечных людей в нашем Небе!!!
Постепенно постоянно к мастерству.
Аватара пользователя
air
 
Сообщения: 2186
Зарегистрирован: Ср янв 24, 2007 9:48 pm
Откуда: Киев

Сообщение wllad » Пт окт 19, 2007 2:39 pm

РЕКВИЗИТЫ ДЛЯ ВНЕСЕНИЯ В ФОНД

В ЛЮБОМ БАНКЕ УКРАИНЫ (только гривны)
Получатель: ПриватБанк
Наименование банка: ПриватБанк
Номер счета: 29244825509100
МФО: 305299
ОКПО: 14360570
Назначение платежа:
Кому (Силенко Владимир Николаевич, ИНН 2229815875 )
Для пополнения на карту 6762462013254765
============================================

В любом отделении Приватбанка Украины (только гривны)-
достаточно просто указать операционисту
Для пополнения на карту 6762462013254765
Силенко Владимир Николаевич, ИНН 2229815875
============================================

ДЛЯ ОТПРАВКИ МЕЖДУНАРОДНЫМ ПЕРЕВОДОМ ИЗ ЛЮБОЙ СТРАНЫ (USD только)
BENEFICIARY: SILENKO VLADIMIR
ACCOUNT: 6762462013254781
BANK OF BENEFICIARY: PRIVATBANK
INTERMEDIARY BANK: JP MORGAN CHASE BANK New York, USA
SWIFT code CHASUS33
CORRESPONDENT ACCOUNT: 0011000080
===========================================
ОГРОМНОЕ СПАСИБО ВСЕМ ОТОЗВАВШИМСЯ !!!
Я не поэт, я- бард...
Аватара пользователя
wllad
 
Сообщения: 193
Зарегистрирован: Чт июн 07, 2007 1:27 pm
Откуда: Kiew

Выздоровление Светы.

Сообщение air » Сб окт 27, 2007 9:09 pm

Позавчера Свету выписали на амбулаторное лечение.
Ее к себе любезно пригласил Женя Ерошенко "freeair".
Света по прежнему нуждается в нашей помощи, ее надо возить на перевязки и т.д.
Нельзя все взваливать на Женю, кто может учавствовать, помогайте.
Постепенно постоянно к мастерству.
Аватара пользователя
air
 
Сообщения: 2186
Зарегистрирован: Ср янв 24, 2007 9:48 pm
Откуда: Киев

Выздоровление Светы

Сообщение air » Вт окт 30, 2007 7:05 pm

На климухе ломаться нельзя :(
Врядли в гор. больнице Феодосии, смогут оказать квалифицированную помощь.
Вложения
pp2.JPG
Так выглядела поломанная "лапка" Светы до гипса
pp2.JPG (14.9 КБ) Просмотров: 7155
pp3.JPG
в гипсе, все что смогли сделать в Феодосии
pp3.JPG (18.3 КБ) Просмотров: 7159
p1.JPG
Так смотрится "пирсинг" Светы, Голиков Валерий Николаевич супер!
p1.JPG (14.2 КБ) Просмотров: 7150
Постепенно постоянно к мастерству.
Аватара пользователя
air
 
Сообщения: 2186
Зарегистрирован: Ср янв 24, 2007 9:48 pm
Откуда: Киев


Вернуться в Всё

Кто сейчас на конференции

Сейчас этот форум просматривают: нет зарегистрированных пользователей и гости: 2

cron